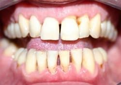
Лечение пародонтита
Цены |
||
| Обработка Аппаратом Vector | 500 руб. | Обработка Аппаратом Vector |
| Гингивопластика в области одного зуба | от 5 000 руб. | Гингивопластика в области одного зуба |
| Шинирование зубов | 6 500 руб. | Шинирование зубов |
| Лоскутная операция в области 3х зубов | 7 000 руб. | Лоскутная операция в области 3х зубов |
| Стерилизация пародонтального кармана лазером в области одного зуба | 800 руб. |
|
|
*Клиника придерживается прозрачной политики ценообразования. На консультации проводится осмотр, постановка диагноза и озвучивание стоимости. Стоимость лечения зависит от методики и количества обрабатываемых зубов. |
||
Отзывы
Имплантация с минимальной травматичностью стала отличным решением при моем хроническом пародонтите. Мини-конструкции, которые рекомендовал Чепиков Сергей Сергеевич, не доставляют никакого дискомфорта. Огромная благодарность не только за рекомендации по выбору, но и беспроблемную установку. Теперь я уверен – безболезненная стоматология – это не история из фантастики, а реальность.
Название: 32 Дент
Телефон: г. Москва, ул. Винокурова, д. 2
Телефон: +7 (495) 241-66-54
Пародонтит для меня – хроническое явление, камни образуются постоянно, даже при правильном уходе за зубами. Спасибо Татьяне Юрьевне Черной, посоветовала лечить патологию лазером. Результат: меньше воспаления десен, налет образуется, но уже не так «поднимает» мягкие ткани, соответственно, в стоматологию я хожу не каждый квартал, а раз в полгода – хватает, чтоб чувствовать себя отлично.
Название: 32 Дент
Телефон: г. Москва, ул. Винокурова, д. 2
Телефон: +7 (495) 241-66-54
Давно начали беспокоить, кровоточить десны, но я всё откладывал поход к врачу - как и большинство людей боюсь стоматологов. В результате совсем запустил ситуацию и обратился в клинику уже с пародонтитом. Родственница посоветовала обратиться к Абалакиной Инге Романовне. Это отличный специалист, постепенно мои десны приходят в норму, от былых проблем нет и следа. Хотелось бы сердечно поблагодарить Ингу Романовну за профессионализм и чуткое отношение! Успехов Вам в работе!
Название: 32 Дент
Телефон: г. Москва, ул. Винокурова, д. 2
Телефон: +7 (495) 241-66-54
Лечил Вектором пародонтит с глубокими карманами в стоматологии «32 Дент» у стоматолога Воронина, уже на второй день после такого лечения почувствовал заметное облегчение, стало удобнее есть и даже чистить зубы, уменьшилась кровоточивость при чистках. Да и помимо Вектора Ростислав Викторович дал мне некоторые предписания, сейчас выполняю их и вижу, что действительно десны выздоравливают! Нужно было еще раньше обратиться, а я все тянул, думал все равно толком не помогут… Спасибо!
Название: 32 Дент
Телефон: г. Москва, ул. Винокурова, д. 2
Телефон: +7 (495) 241-66-54
У моей мамы очень запущенный хронический пародонтит, ходит со съемным протезом, потому что зубов своих почти не осталось. Десны в ужасном состоянии, иногда снимает протез после еды помыть – а на нем кровь. Мама все время лечилась (или, скорее, пыталась лечиться) в поликлинике по месту жительства, но ситуация, по моему мнению, к лучшему не менялась. Не выдержала, взяла маму буквально за руку и отвела в стоматологию 32 Дент у м. Кузьминки. Сейчас мама лечится у Данченко Оксаны Сергеевны, она сразу предупредила, что моментального чуда не случится, все же возраст и запущенность болезни играют роль. Но при этом мама и даже я уже замечаем улучшения, поэтому будем продолжать лечение у Оксаны Сергеевны до победного конца!!
Название: 32 Дент
Телефон: г. Москва, ул. Винокурова, д. 2
Телефон: +7 (495) 241-66-54
Вопрос-ответ
Здравствуйте, Снежана. Не стоит удивляться, пародонтит на ранних стадиях часто протекает без болезненных ощущений, наличие заболевания определяется именно по кровотечению десен. Обострение в осенний и весенний сезон – привычное явление, именно в это время организму не хватает витаминов, что провоцирует прогрессирование пародонтита. Что касаемо вопроса «Можно ли удалить симптомы?», то да, симптомы снять возможно, но это не избавит вас от болезни. Более того, использование народных средств и специализированных зубных паст без рекомендации стоматолога могут привести к смене острой формы патологии на хроническую, когда лечение станет труднее и дороже. Абсолютно безболезненно и даже без кровотечений из десен могут появиться признаки остеопороза и увеличиться поддесневые карманы, что приведет к необходимости операции.
Мучаюсь с пародонтальным карманом между седьмым и восьмым зубами внизу справа, уже около года хожу на чистки, полощу рот травами и антисептиками, мажу метрогилом, но карман никуда не девается. Десна болит, особенно при еде или при нажатии. Как мне убрать этот карман, подскажите!
Здравствуйте. Если такое длительное лечение не принесло положительных результатов и проблема с пародонтом не решена, возможно, потребуется удалить восьмой зуб, чтобы спасти семерку и все-таки устранить пародонтальный карман. Вам нужна очная консультация стоматолога.



Добрый день! С приходом осени у меня появилось кровотечение десен, но не больно и зубы не шатаются. Читала, что покраснение и кровоточивость – признаки пародонтита, но разве он протекает безболезненно? Можно ли удалить такие симптомы самой, народными средствами, например?